
Les épithéliums de revêtements
L'organisme est entièrement limité par le revêtement cutané (peau) qui constitue une interface entre le monde extérieur et le milieu intérieur. Cet épithélium de revêtement est l'épiderme.
Les cavités de l'organisme sont de différents types :
● Les cavités, prolongements de l'extérieur (voies aériennes, tube digestif, voies urinaires et voies génitales). Ces épithéliums de revêtement portent le nom d'épithélium.
● Les cavités closes (cavités cardiaques et vasculaires) dont les épithéliums de revêtement sont des endothéliums.
● Les cavités cœlomiques (cavités pleurale, péritonéale et péricardique). Les épithéliums correspondants sont des mésothéliums.

FICHE TP/TD Les épithéliums
L'organisme est entièrement limité par le revêtement cutané (peau) qui constitue une interface entre le monde extérieur et le milieu intérieur. Cet épithélium de revêtement est l'épiderme.
Les cavités de l'organisme sont de différents types :
● Les cavités, prolongements de l'extérieur (voies aériennes, tube digestif, voies urinaires et voies génitales). Ces épithéliums de revêtement portent le nom d'épithélium.
● Les cavités closes (cavités cardiaques et vasculaires) dont les épithéliums de revêtement sont des endothéliums.
● Les cavités cœlomiques (cavités pleurale, péritonéale et péricardique). Les épithéliums correspondants sont des mésothéliums.

Glandular Epithelium
All cells synthesize molecules, especially proteins, that do not leave the cell and ensure its life and functioning. A secretory cell is a specialized cell that synthesizes and rejects molecules outside of it, thus exporting its secretion product. Many cells fall into this framework, plasma cells secrete antibodies.
The name glandular cells is reserved for secretory cells of epithelial nature. These cells do not themselves use this secretion product but make it available to other elements of the body by excretion.
Glandular tissues can be classified according to several criteria.

Tissu conjonctifs
Les tissus conjonctifs sont des tissus d’origine mésenchymateuse qui assurent des fonctions mécaniques de nutrition, de synthèse de substances (par ex. : héparine, anticoagulant), de défense (rôle des macrophages dans les phénomènes inflammatoires et immunitaires).

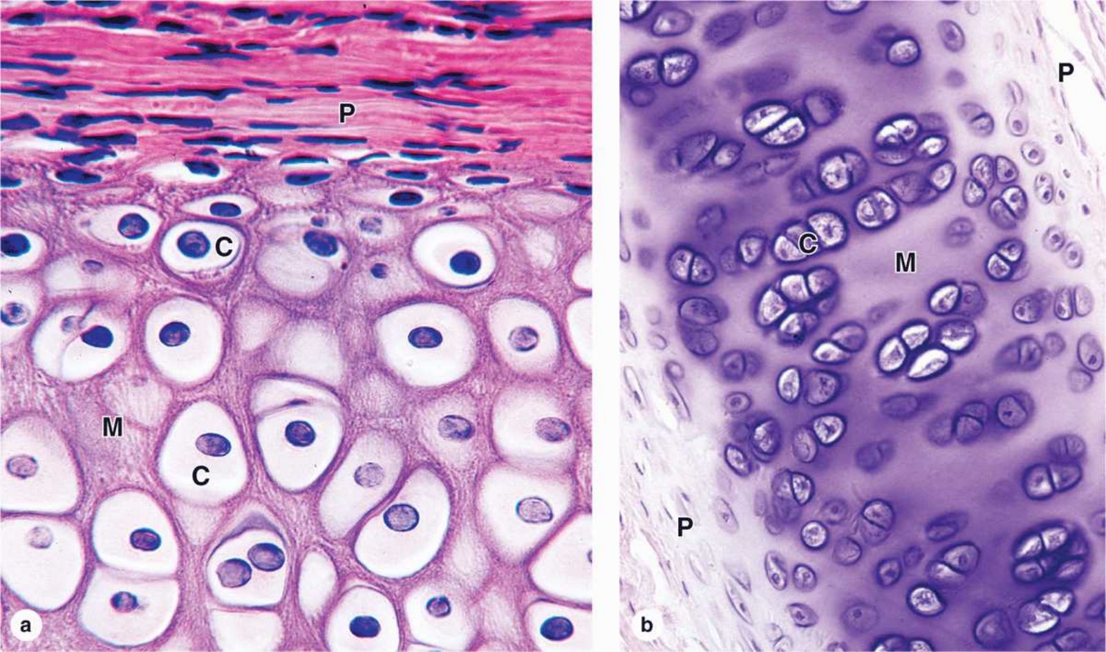
Tissu cartilagineux
Forme spécialisée de tissu conjonctif d'origine mésenchymateuse ; Tissu élastique et solide, compact, translucide, déformable, non minéralisé. Sert de support, facilite les mouvements et joue un rôle primordial dans l’ossification. Est dépourvu de vascularisation.

Tissu osseux
Le tissu osseux (T.O) est un tissu conjonctif
spécialisé, il dérive du mésoblaste. Il est constitué de différentes
cellules, d’une matrice extracellulaire minéralisée (MEC) lui conférant
sa rigidité et sa solidité. Il joue un rôle de soutien (support), de protection
des organes, de mouvement, stockage des minéraux et métabolisme phosphocalcique
ainsi que la formation des cellules sanguines.

Blood and Hemopoiesis
Blood is a specialized connective tissue of mesenchymal origin in which cells are suspended in fluid extracellular material called plasma. About 5-6 L of blood in an average adult moves unidirectionally within the closed circulatory system.

L'Ossification
L'ostéogénèse est un terme très général qui englobe non seulement l'ensemble des processus responsables de la construction d’une pièce osseuse (histogénèse), mais aussi la croissance et les remaniements du tissu osseux.

Tissu Nerveux
-Le tissu nerveux est le support histologique du système nerveux (SN), est spécialisé dans la conduction, la transmission et le traitement des informations.
-Présent dans toutes les régions du corps, il est avec le système hormonal et le monde des cytokines : l’un des trois grands moyens de communication de l’organisme.
-D’origine neuro ectoblastique.
-Comporte:
Des cellules nerveuses ou neurones.
Des cellules de soutien (névrogliques).

TISSU MUSCULAIRE
Le tissu musculaire est constitué par des cellules spécialisées : les cellules musculaires ou myocytes, dont la fonction principale est la contraction. Cette dernière relève de différenciations cytoplasmiques : les myofibrilles, qui désignent un ensemble de myofilaments d'actine et de myosine, orientés et agencés dans un ordre rigoureux.

Les méthodes d’étude de la cellule (Les techniques de microscope) Les préparations tissulaires pour microscopie optique et électronique
Le cours est présenté en unité d'apprentissage, cette unité d'apprentissage est traitée à travers des séquences pédagogiques permettant l'assimilation des concepts prévus, cette assimilation est consolidée par des activités d'apprentissages où ces notions sont mises en œuvre, c’est une des forces de ce cours.


